Emeroteca
Archivio di ortopedia pubblicazione ufficiale del Pio istituto dei rachitici <1924-1950>
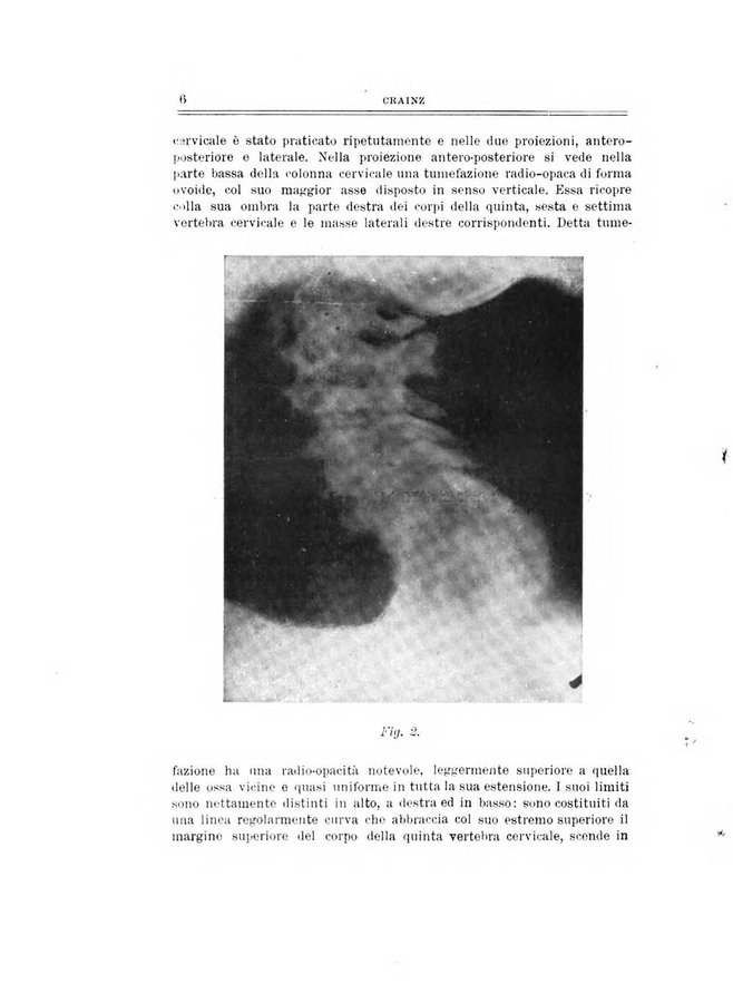
Pagina
8
- Titolo:
- Archivio di ortopedia pubblicazione ufficiale del Pio istituto dei rachitici <1924-1950>
- Numerazione:
- unico
- Datazione:
- 1925
- Pubblicazione:
- Milano : Istituto ortopedico Gaetano Pini [etc.]
- Descrizione fisica:
- 86 volumi : ill. ; 24 cm
- Note:
- Bimestrale; dal 1914 al 1942 quadrimestrale; dal 1946 al 1952 trimestrale; dal 1953 al 1973 bimestrale
- Persone:
- Istituto per la diffusione di opere scientifiche
- Luoghi:
- Milano
- Ente di appartenenza:
- Biblioteca nazionale centrale di Roma
- Identificativo:
- TO00176849